Temas La convicción de ser Médico » El Tráfico oTrata de Personas » La Materia y sus Enigmas en el origen del Universo » Los Mosquitos y las Enfermedades » Muerte y paro cardíaco en participantes de triatlón » Los recuerdos, el tiempo y el cerebro » Los analgésicos derivados del opio u opiáceos » Efectos de la Vitamina D » El Internista y la sub-especialización de la medicina interna » El Estrés y las Enfermedades » Nuevos Tratamiento para Cáncer » Leptina la hormona que hace la diferencia en la obesidad » Causas de muerte en México y en el Mundo » Contaminación del ambiente y de los alimentos por Mercurio » El Ritmo Celular Circadiano y la Cronofarmacología » Adicción a Drogas, ¿Enfermedad Cerebral? » Las adicciones, el cerebro, la sociedad y la legalización. » Palpitaciones inesperadas con mareo » Arritmias cardiacas y embolias » Polineuropatía y Neuropatía » Que cirugía es la mejor para obesidad mórbida » Oxidación y antioxidantes » Somos Agua » El ejercicio extremo puede dañar el corazón » Choque anafiláctico por medicamentos » Día Mundial de la Actividad Física » Lesiones vasculares » El sarampión » La ansiedad y sus consecuencias » Paperas en el adulto » ¿De sexo? » Cáncer de colon y recto, diferencias en grupos étnicos. » ¿Que es la Fiebre Amarilla? » Como evitar la Diabetes Tipo 2 » Glaucoma » El asma en el mundo » La caducidad de los medicamentos » Alteraciones genitales y urinarias de la menopausia » Estudio de los fósiles » Los nódulo de la Tiroides » Influenza 2017 » Apendicitis aguda » Hepatitis por alcohol » Caídas en la tercera edad » Observación del fondo de ojo por su médico » ¿Qué le hace la presión alta al corazón y a los riñones? » El uso del internet con consecuencias mortales » Complicaciones Médicas Asociadas con Terremotos » El Sismo del 19 » Sal, proteínas, grasas y la diabetes » Medicamentos genéricos y la competencia en el mercado » El adulto mayor y la hidratación en México » La oclusión de las arterias carótidas del cuello » Seres humanos con componentes cibernéticos » Insuficiencia Cardiaca » Lesión por knock out » Como evaluar la función de mi corazón » Innovaciones en medicina » La plasticidad del cerebro » Las enfermedades no respetan las fronteras » Reanimación Cardiopulmonar » Deporte y cafeína » La Indigestión » Alergia nasal en la ciudad de México » La certificación de los médicos y la salud en México » Dolor de espalda baja » Que es y cómo funciona el colesterol » La dieta, la pérdida de peso y su relación con el ejercicio » Insuficiencia cardiaca e Infarto, diferencias » La Capacidad de caminar en la tercera edad » ¿Ejercicio para disminuir la mortalidad? » ¿Y después de la fiesta? » La Tos » ¿Estamos en alerta y en emergencia? » La violencia » Evolucionar para crecer » Causas de Muerte más frecuentes » Inmunología, alergia y ejercicio » ¿Quienes viven más y por qué? » Las olimpiadas » Programación fetal » El Suicidio » El tubo o tracto digestivo y sus funciones » Relación de la sal y el corazón » Ejercicio sin nutrición adecuada mala combinación » Evitar riesgo en el ejercicio » Efectos de la cafeína en el organismo » Hipertensión Arterial » Piedras en el Riñón » Relación entre el índice de masa corporal » Dolor del trigémino o neuralgia del trigémino » El consumo de carne y el desarrollo del cerebro » Investigación el sentido del conocimiento » Falla renal en Diabetes frecuente causa de muerte » Prediabetes » La prevención » ¿Grasa en el Hígado? » Ejercicio es Medicina en México (EIMM) » El horror del embarazo inesperado » Fiebre de origen a determinar » Aunerisma de Aorta » Hidratación » Cáncer de la vesícula biliar » Dolor óseo en el crecimiento » Obstrucción intestinal » Infecciones de la piel » Osteoporosis » Infección del Oído Medio » ¿Qué pasa si no duermes bien? » Como destapar un infarto » Crisis convulsivas en un adulto » Los privilegios de la inteligencia » La inflamación muscular en el ejercicio » Artritis Reumatoide » Implantes mamarios » Caminar para tu Salud » Artritis » Obesidad exagerada » Detección de daños al corazón » ¡Cuidado con la lluvia y el Dengue! » ¿La Cama Enferma? » Sarampión » Epidemia respiratoria en Corea » Congreso Internacional de Salud Urbana » Tres generaciones » Obesidad » Congresos médicos » Que es una diarrea » Mes de la Actividad Física » Tuberculosis enfermedad persistente » Función cerebral en el anciano » Piel de gallina » Tumor de la Hipófisis en el cerebro » Delirium tremens » Estrías en la piel » Delirio » Sobre las Adicciones » El sexo, el embarazo y las ... » Menopausia y tercera edad » Síncope de origen cardiaco » Diarrea por Giardia » Crisis convulsivas en la edad adulta » Las adicciones » Tuberculosis » Síndromes para-neoplásico » Tromboembolia » El acceso al conocimiento » Que debemos esperar de nuestro médico » Hemorroides » Uretritis y Cistitis » Si me siento enfermo » Pie Diabético » ¿El VIH o SIDA se cura? » Ebola Virus Mortal » Hipoglucemia tratamiento de emergencia » Tomar vitaminas puede ser dañino » Fragilidad y edad » No te autorecetes » Chikungunya » Ateroesclerosis » ¿Podemos cambiar nuestra genética? » Aneurisma de Aorta (2015) » Roncar y no respirar » Sobreviviente del Cancér » Deterioro intelectual » El Mejor tratamiento » Angina de Pecho » El Derecho a la Salud » Dolor de Cabeza por Migraña » Neurociencia del Amor y la lujuria » Neurociencia del Amor y la lujuria »
☰ Temas

Arritmias cardiacas y embolias

La arritmia mas conocida y más frecuente con repercusión en la calidad de vida y con posibilidades de prevención para sus complicaciones es la Fibrilación Auricular.

Esta arritmia tiene una prevalencia en la población general de 3% en mayores de 20 años y se incrementa con la edad (entre 40 y 50 años aumenta su prevalencia al 5% y de 15% a los 80 años de edad).

Cuando hablamos de arritmias nos referimos a la manera anormal de latir del corazón, siendo en este caso la más desordenada de las que puede tolerar el corazón en forma crónica.

La fibrilación auricular se acompaña de un deficiente bombeo de sangre de parte del corazón debido a que las contracciones no siguen un ritmo regular ni con las pausas necesarias para recargar sangre en las cavidades y luego expulsarla.

Arritmias cardiacas y embolias
Ritmo normal abajo y fibrilación arriba mostrada en electrocardiograma.

Además la Fibrilación Auricular (FA) se acompaña de otro grave problema que consiste en la formación de coágulos en el corazón que pueden ser disparados en una contracción hacia el cerebro y ocasionar lo que llamamos embolias cerebrales con severas repercusiones funcionales desde el punto de vista neurológico, riesgos para la calidad de vida y la vida misma.

La FA se puede acompañar de insuficiencia cardiaca (deficiente bombeo de sangre) insuficiente para la demanda del organismo sobre todo durante el esfuerzo físico.

Lo más importante de este problema es detectarlo, así podremos iniciar un tratamiento para disminuir los riesgos, con la intención de controlar la frecuencia de contracciones del corazón, limitar la anomalía del ritmo (acotar la arritmia) y principalmente evitar que se formen coágulos en las cavidades del corazón que puedan ser expelidos y ocasionar obstrucción en una parte del cerebro, destruyendo tejidos y alterando la respuesta neurológica con manifestaciones como la pérdida del habla, la parálisis de medio cuerpo, estados graves como el coma o el aumento de presión adentro de la cabeza (hipertensión intracraneal) con riesgo de perder la vida.

La fibrilación auricular se genera de manera espontanea y paroxística como resultado de una alteración eléctrica por daño en las fibras de conducción del corazón, el paciente puede entrar y salir de la arritmia de manera intermitente. En otras ocasiones la Hipertensión Arterial es la enfermedad que detona el trastorno, cambiando de forma secundaria el grosor del músculo auricular del corazón y sin lugar a duda las lesiones en la válvulas del corazón es otro de los factores que puede considerarse determinante en la presencia de le enfermedad, así como también lo es la oclusión de las arterias coronarias.

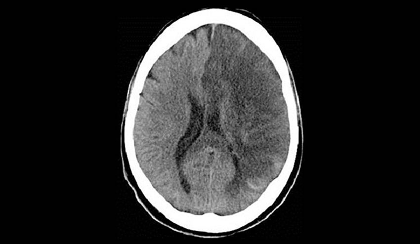
Arritmias cardiacas y embolias
La parte oscura que se observa en el cerebro es a la que le falta irrigación. Cuando la embolia obstruye el flujo del lado derecho del cerebro, la parálisis será en la mitad del lado izquierdo del cuerpo y visceversa.

Además de los anti-arrítmicos los pacientes de ben recibir tratamiento anticoagulante, el cuál actualmente se puede llevar a cabo de manera sencilla con los nuevos anticoagulantes orales fáciles de dosificar y administrar, favoreciendo el apego al tratamiento y evitando la formación de coágulos con sus dramáticas repercusiones.

En nuestro país se tiene muy presente la letalidad de esta arritmia, considerándola maligna por sus complicaciones.

Se diagnostica a través de un electrocardiograma, se confirma con el Holter, con el ecocardiograma podemos analizar la parte estructural del corazón y ver si existen daños de forma directa o indirecta.

Indiscutiblemente la arritmia es tan obvia en ocasiones que el estetoscopio pude ser suficiente para hacer el diagnóstico presuncional, siempre deberá de corroborarse en la medida de lo posible.

La fibrilación auricular (FA) es una entidad tremendamente frecuente, en las últimas guías de FA publicadas en 2016 por la European Society of Cardiology (ESC)1 se nos proporcionan datos interesantes sobre la elevada incidencia y prevalencia de dicha entidad, 1 de cada 4 adultos de mediana edad en Europa y Estados Unidos sufrirá FA a lo largo de su vida; la prevalencia estimada de FA en personas de más de 20 años es del 3%, lo que concuerda con los datos del estudio OFRECE en España, que mostró una prevalencia del 4,4% de la población general mayor de 40 años. (Dr. Rafael Carlos Vidal Pérez). Nadie con FA debe de estar sin tratamiento, este debe ser iniciado cuanto antes.

Atentamente.

Dr. Alejandro Cárdenas Cejudo.
Presidente
Ejercicio es Medicina en México
Medicina Interna
Expresidente del CMIM
Expresidente de la SMHAP
Fellow of the American College of Physicians
Miembro del Comité de la ISIM
Mtro. en Admon. De Instituciones de Salud
www.exerciseismedicine.org.mx

☰ Temas

¿Más personas hacen Ejercicio regularmente?

Flujograma de Consultas. El ejercicio es antihipertensivo, vasodilatador, hipnótico, diurético, anorexigeno, reductor de peso, catártico, hipoglicémico, tranquilizante y antidepresivo.
Leer más »

Cursos y Talleres en Línea (Con Aval)

El Curso en línea "Las Ciencias del Ejercicio y la prevención de enfermedades" está conformado por 8 módulos. Curso oficial y avalado por la International Society of Internal Medicine (ISIM)
Leer más »